{title}
{publish}
{head}
Vừa qua, Bệnh viện Đa khoa tỉnh Phú Thọ đã tiếp nhận điều trị một trường hợp rối loạn phổ viêm tủy thị thần kinh thể hiếm gặp. Người bệnh nữ, 37 tuổi, trú tại Xuân Ái, Lào Cai, nhập viện trong tình trạng chóng mặt kéo dài, nôn kéo dài, yếu tứ chi không đi lại được.

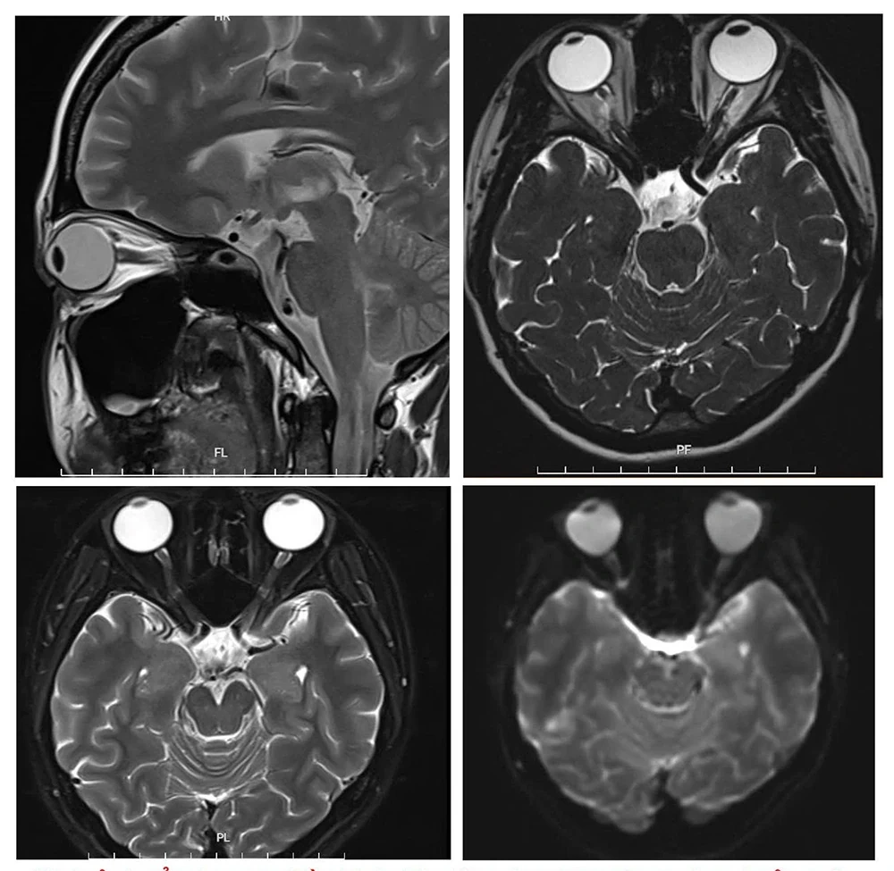
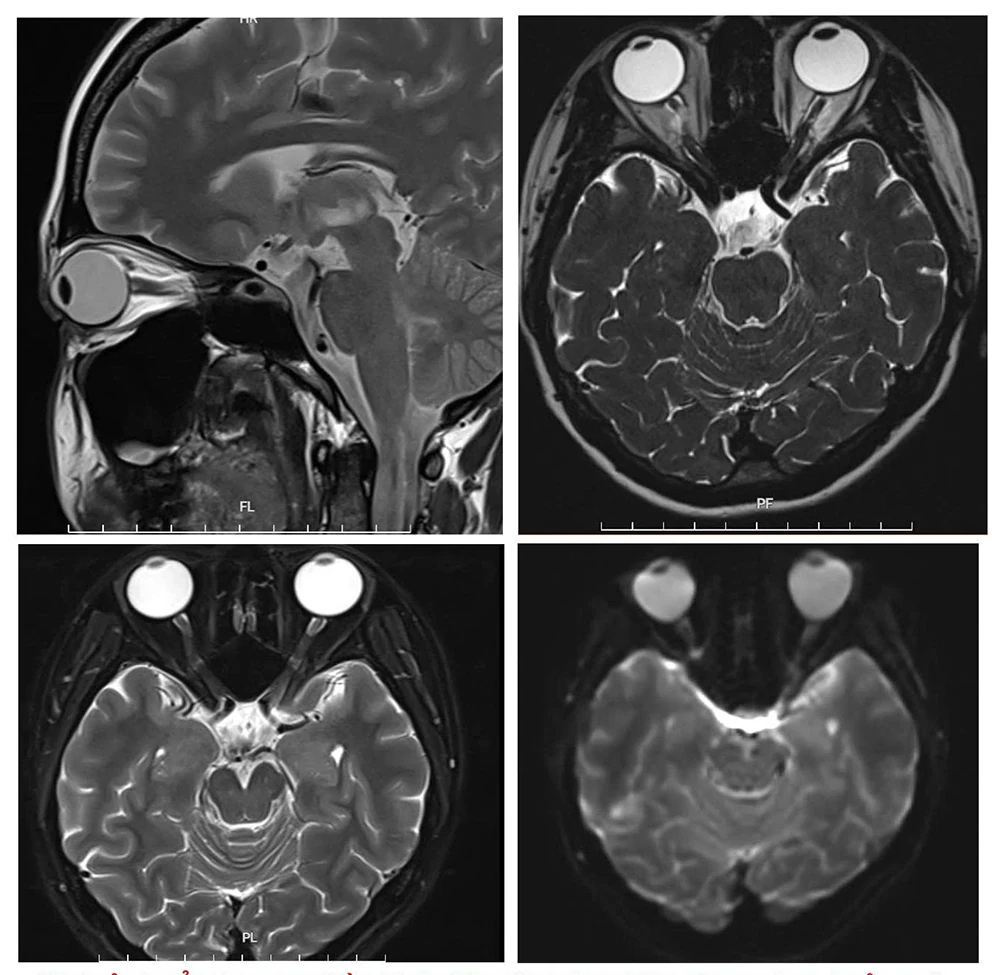
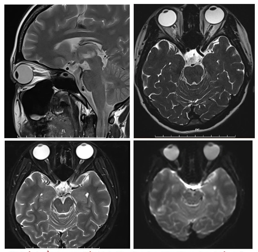
Hình ảnh tổn thương thần kinh thị giác trên phim chụp cộng hưởng từ
Được biết khoảng 2 năm nay, người bệnh thường xuyên bị chóng mặt, buồn nôn, thỉnh thoảng có kèm theo các đợt táo bón, chướng bụng. Người bệnh đã đi khám tại một vài cơ sở y tế và được chẩn đoán liệt ruột chưa rõ nguyên nhân.
Khoảng 1 tháng trước khi vào viện, người bệnh xuất hiện chóng mặt kéo dài, nôn khi ngồi dậy, mất thăng bằng, run 2 chân, đi lại khó khăn. Người bệnh đến cơ sở y tế tại địa phương khám thì được điều trị theo hướng rối loạn tiền đình nhưng không đỡ.
Người bệnh tiếp tục đến khám tại một bệnh viện ở Hà Nội và được kê đơn thuốc điều trị ngoại trú nhưng tình trạng bệnh không cải thiện mà ngày càng nặng hơn. Các triệu chứng chóng mặt, buồn nôn, nôn, run 2 chân, yếu 2 chân khi đi lại, táo bón,... tăng dần, thỉnh thoảng nhìn mờ 2 mắt. Tình trạng ngày càng nghiêm trọng khiến người bệnh không thể ra khỏi giường, khi muốn đi lại cần 2 người hỗ trợ 2 bên.
Sau 1 tháng ở nhà điều trị theo đơn ngoại trú nhưng không đỡ, gia đình đã đưa người bệnh đến Trung tâm Đột quỵ – Bệnh viện Đa khoa tỉnh Phú Thọ kiểm tra. Tại đây, người bệnh được các bác sĩ thăm khám, làm xét nghiệm máu, chọc dịch não tuỷ, chụp cộng hưởng từ sọ não,... Sau hội chẩn lâm sàng, người bệnh được kết luận bị rối loạn phổ viêm tủy thị thần kinh thể tổn thương thần kinh thị, sàn não thất IV, hành tuỷ lưng bên.
Người bệnh được điều trị theo phác đồ tấn công ức chế miễn dịch, sau đó điều trị ức chế miễn dịch dự phòng kết hợp với các thuốc điều trị triệu chứng khác. Sau 14 ngày điều trị, người bệnh cải thiện hoàn toàn các triệu chứng, hết chóng mặt, không còn bị nôn, đi lại bình thường, hết táo bón, chướng bụng và được ra viện.

Người bệnh được bác sỹ kiểm tra vận động sau điều trị
Theo ThS.BS. Tạ Văn Hải – Phó Trưởng khoa Điều trị Thần kinh – Đột quỵ bán cấp: Viêm tủy thị thần kinh là bệnh tiến triển từng đợt với các triệu chứng về cảm giác, vận động, thị lực, chức năng bàng quang tích lũy theo thời gian. Triệu chứng đặc trưng của rối loạn phổ viêm tủy thị thần kinh là viêm thị thần kinh hoặc viêm tủy. Trong đó, viêm thị thần kinh là viêm dây thần kinh thị giác, gây đau nhức trong mắt, đau tăng khi cử động mắt và thường tiến triển nhanh tới giảm thị lực hoặc mù lòa. Triệu chứng thông thường khởi phát từ 1 mắt, tuy nhiên cũng có thể xảy ra đồng thời cả 2 mắt hoặc tiến triển từ một bên sang 2 bên.
Viêm tủy (hay còn gọi là viêm tủy cắt ngang) là hội chứng đặc trưng khác của bệnh, thường gây ra cả triệu chứng về vận động, cảm giác hoặc triệu chứng thần kinh tự động ở phần cơ thể dưới mức tổn thương viêm tủy. Người bệnh có thể đau lưng, liệt 2 chân hoặc liệt tứ chi, kèm tê bì, giảm cảm giác hoặc đau các chi.
Để việc điều trị rối loạn phổ viêm tủy thị thần kinh đạt hiệu quả, thì việc phát hiện bệnh sớm là rất quan trọng. Vì vậy, các bác sỹ chuyên khoa khuyến cáo người dân cần chủ động kiểm tra sức khỏe định kỳ 6 tháng đến 1 năm 1 lần để phát hiện sớm những dấu hiệu bất thường và được điều trị kịp thời, tránh những biến chứng nguy hiểm có thể xảy ra. Đặc biệt, ngay khi có những triệu chứng lạ, người dân nên đến cơ sở y tế để thăm khám và điều trị kịp thời.
Mộc Lâm
Mỡ bò đang quay trở lại gian bếp và cả ngành chăm sóc da, được nhắc đến trong Hướng dẫn chế độ ăn uống cho người Mỹ giai đoạn 2025 - 2030. Vậy mỡ bò là gì, có thực sự tốt cho...
Cà chua cực kỳ bổ dưỡng nhưng lại khá “kén” bạn đồng hành. Để bảo vệ hệ tiêu hóa và hấp thụ trọn vẹn vitamin, lycopene, bạn cần lưu ý kỹ khi kết hợp cà chua với một số loại...
baophutho.vn Ngày 30/6/2025, Bộ Y tế ban hành Thông tư 26/2025/TT-BYT quy định về đơn thuốc và kê đơn thuốc hóa dược, sinh phẩm trong điều trị ngoại trú tại...
Ô nhiễm không khí và thời tiết lạnh khiến số ca nghẹt mũi, đau họng, ho, cảm lạnh gia tăng. Xông hơi bằng thảo dược tự nhiên là giải pháp đơn giản giúp thông xoang, làm dịu cổ...
Sáng 17/1, Tổng Bí thư Tô Lâm dự lễ khởi công Dự án Khu phức hợp y tế - Chăm sóc sức khỏe người cao tuổi Đại học Y Hà Nội tại phường Hoàng Mai, thành phố Hà Nội. Công trình...
Mùa đông với thời tiết lạnh, ít nắng, vận động giảm và chế độ ăn quá nhiều năng lượng dễ làm suy giảm miễn dịch, rối loạn tiêu hóa, tăng cân, rối loạn chuyển hóa. Bổ sung salad...
Chứng đầy hơi chủ yếu do cách ăn uống và các vấn đề về tiêu hóa. Có nhiều giải pháp giúp giảm thiểu khó chịu, trong đó uống nước chanh là cách tốt nhờ vào tính acid tự nhiên và...