baophutho.vn Vừa qua, Bệnh viện Đa khoa tỉnh Phú Thọ đã tiếp nhận điều trị một trường hợp rối loạn phổ viêm tủy thị thần kinh thể hiếm gặp. Người bệnh nữ,...
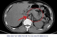
Vừa qua, Khoa Cấp cứu – Bệnh viện Đa khoa tỉnh Phú Thọ tiếp nhận người bệnh N.V.C (47 tuổi, trú tại tỉnh Phú Thọ), nhập viện trong tình trạng đau bụng dữ dội vùng thượng vị,...
baophutho.vn Vừa qua, bệnh nhân nam 60 tuổi có tiền sử xơ gan, viêm gan B, HCC (ung thư biểu mô tế bào gan) Child – Pugh B 7 điểm nhập viện tại Bệnh viện Đa...
baophutho.vn Chỉ trong 1 tuần, khoa Chẩn đoán hình ảnh, Bệnh viện Đa khoa Hùng Vương đã liên tiếp thực hiện các ca can thiệp mạch máu cấp cứu cầm máu cho...
baophutho.vn Trung tâm Y tế (TTYT) huyện Tân Sơn vừa tiếp nhận một bệnh nhân nam (44 tuổi, xã Long Cốc) nhập viện với chẩn đoán nhiễm giun rồng...
baophutho.vn Thời gian gần đây, sự thay đổi nhiệt độ đột ngột khiến nhiều người nhập viện với các triệu chứng liệt mặt, méo miệng. Đáng lo ngại, không ít...
Với suy nghĩ thuốc nam thường lành tính nên không ít người bệnh nghe theo lời mách bảo, truyền miệng đã sử dụng các loại thuốc nam để chữa bệnh. Trên thực tế, việc sử dụng...
baophutho.vn Thông tin từ Trung tâm Y tế huyện Thanh Sơn (Phú Thọ) cho biết, thời gian gần đây đã tiếp nhận và điều trị nhiều trường hợp bệnh nhân bị rết cắn.
baophutho.vn Mới đây, Khoa Cấp cứu, Trung tâm Y tế huyện Cẩm Khê tiếp nhận bệnh nhân nữ 19 tuổi, trú tại xã Sơn Tình, huyện Cẩm Khê, nhập viện trong tình...
baophutho.vn Vào mùa hè, với khí hậu nóng ẩm mưa nhiều, trẻ em rất dễ mắc bệnh chốc lở da, dễ lây lan chéo trong các trường học và cơ sở chăm sóc. Điều đáng...
baophutho.vn Hiện nay, nhiều người dân có xu hướng tự ý mua thuốc uống để điều trị bệnh tại nhà mà không tham khảo ý kiến hoặc có đơn thuốc của bác sĩ. Thói...