{title}
{publish}
{head}
Người bệnh nữ (68 tuổi) ở Việt Trì, bị zona thần kinh vùng thành ngực và đau nhiều ở khu vực bị zona. Người bệnh đi khám thì phát hiện có khối bất thường kích thước lớn ở tim bên phải.
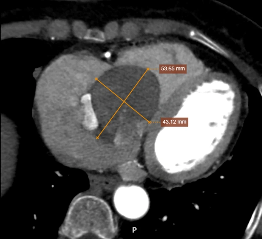
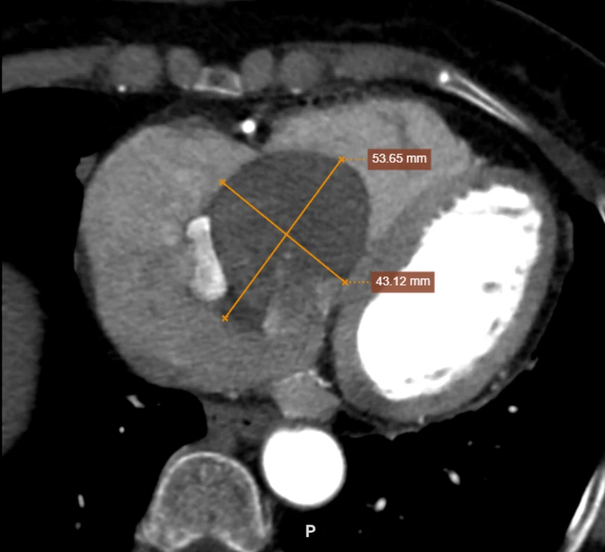
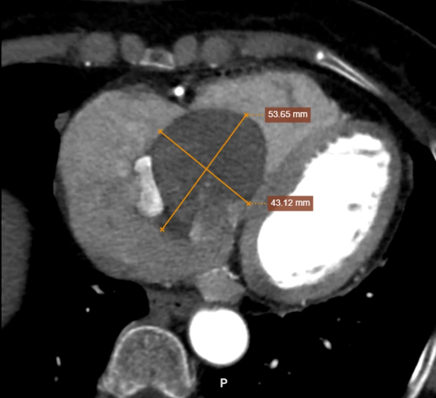
Tại Bệnh viện Đa khoa tỉnh, sau khi thực hiện các xét nghiệm, siêu âm tim và chụp cắt lớp vi tính (CT), các bác sĩ xác định người bệnh có một khối u nhầy khổng lồ kích thước 53x43mm nằm trong nhĩ phải, nguy cơ gây biến chứng nguy hiểm đến tính mạng.

Hình ảnh khối u khổng lồ qua phim chụp CT.
Trước tình trạng này, các bác sĩ đã chỉ định phẫu thuật để loại bỏ khối u, bảo vệ chức năng tim mạch cho người bệnh.

Ekip phẫu thuật thực hiện lấy khối u khổng lồ trong tim người bệnh.
Trong hơn 2 giờ thực hiện, ekip của khoa Phẫu thuật tim mạch – Lồng ngực đã thực hiện cắt bỏ khối u bằng phương pháp phẫu thuật nội soi. Đây là một kỹ thuật hiện đại, giúp người bệnh giảm thiểu đau đớn, hạn chế mất máu và rút ngắn thời gian hồi phục so với phương pháp mổ mở truyền thống.
Dưới sự hỗ trợ của hệ thống nội soi tiên tiến, toàn bộ khối u nhầy đã được bóc tách, đảm bảo không để lại tổn thương trong buồng tim. Ngay sau ca phẫu thuật, người bệnh đã ổn định, các chỉ số tim mạch đã trở về mức bình thường.
Sau phẫu thuật 10 ngày, người bệnh hoàn toàn ổn định, có thể đi lại, ăn uống bình thường và được ra viện.
BSNT Dương Xuân Phương - Trưởng khoa Phẫu thuật Tim mạch - Lồng ngực cho biết: U nhầy nhĩ phải là một dạng u tim hiếm gặp. Do vị trí đặc biệt, u nhầy nhĩ phải có thể gây tắc nghẽn tuần hoàn tĩnh mạch, dẫn đến suy tim phải hoặc thuyên tắc phổi... Các triệu chứng có thể gặp bao gồm khó thở, đau ngực, mệt mỏi kéo dài, thậm chí là ngất xỉu. Bệnh thường đòi hỏi can thiệp phẫu thuật sớm để ngăn ngừa biến chứng nguy hiểm. Áp dụng phương pháp phẫu thuật nội soi ít xâm lấn giúp người bệnh giảm thiểu đau đớn, phục hồi nhanh hơn và nâng cao chất lượng cuộc sống sau mổ.

Bác sĩ kiểm tra sức khỏe người bệnh sau phẫu thuật.
Qua trường hợp người bệnh trên, BSNT Dương Xuân Phương khuyến cáo người dân nên thực hiện kiểm tra sức khỏe định kỳ, đặc biệt là siêu âm tim khi có dấu hiệu nghi ngờ để phát hiện sớm các bất thường tim mạch và có hướng điều trị phù hợp.
Trung tâm Tim mạch - Bệnh viện Đa khoa tỉnh Phú Thọ là địa chỉ tin cậy trong khám và điều trị các bệnh lý tim mạch. Trung tâm được trang bị cơ sở vật chất đồng bộ, với đầy đủ trang thiết bị y tế hiện đại cùng đội ngũ nhân lực chuyên sâu trong các lĩnh vực chính gồm: Nội Tim mạch - Cấp cứu Tim mạch, Can thiệp Tim mạch và Phẫu thuật Tim mạch, lồng ngực.
Trung tâm có 02 phòng mổ tim, trong đó có 01 phòng mổ Hybrid hiện đại. Trung tâm đã triển khai đầy đủ các kỹ thuật chuyên sâu về cấp cứu, can thiệp cũng như phẫu thuật tim, mạch máu, đáp ứng nhu cầu khám chữa bệnh tim mạch nâng cao cho người dân. Từ nhiều năm nay, Trung tâm Tim mạch luôn khẳng định vị thế là địa chỉ uy tín, tin cậy trong việc chăm sóc sức khỏe cho người dân tỉnh Phú Thọ và khu vực Trung du miền núi phía Bắc.
Người dân khi gặp các vấn đề về sức khỏe tim mạch vui lòng liên hệ Trung tâm Tim mạch:
Khoa Phẫu thuật tim mạch – Lồng ngực: 0210.6517.666
Khoa Nội tim mạch và Cấp cứu tim mạch: 0210.6272.568
Khoa Can thiệp tim mạch: 0210.6510.555
Hoặc hotline Bệnh viện: 1800.888.989
Dương Xuân Phương - Trương Tĩnh
Vắc xin ngừa virus gây ung thư cổ tử cung sẽ được tiêm miễn phí cho trẻ nhỏ trong tiêm chủng mở rộng. Trong các vắc xin mới, có vắc xin chi phí lên đến cả triệu đồng/mũi.
Từ khi thụ thai đến 2 tuổi, là “giai đoạn vàng” quyết định tầm vóc, trí tuệ và sức đề kháng của trẻ về sau. Vậy làm thế nào để cha mẹ tận dụng tối đa cơ hội của 1000 ngày vàng?
Một số người sử dụng gừng như một bài thuốc tại nhà để trị cảm lạnh hoặc đau họng. Đặc tính kháng virus, kháng khuẩn, chống viêm của gừng có thể giúp kiểm soát cơn đau và tình...
Chế độ ăn uống giữ vai trò quan trọng trong việc bảo vệ tim mạch. Ngày càng có nhiều bằng chứng khoa học khẳng định rằng rau củ, ngũ cốc nguyên hạt và các loại đậu là nhóm thực...
Đối với các thể bệnh cúm, trong đó có cúm A, nguyên tắc điều trị chủ yếu là giảm triệu chứng và chăm sóc hỗ trợ. Việc bổ sung dinh dưỡng tăng cường sức đề kháng là yếu tố quan...
Khi nói đến những thực phẩm dễ tiêu hóa, chuối thường nằm trong danh sách hàng đầu và thường được khuyên dùng để làm dịu cơn đau dạ dày. Vậy tại sao một số người lại đau dạ dày...
Húng quế được coi là “nữ hoàng rau thơm” trong ẩm thực với nhiều lợi ích cho sức khỏe nhưng việc lạm dụng hoặc dùng dưới dạng cô đặc có thể mang đến những tác dụng phụ nghiêm trọng.