{title}
{publish}
{head}
Bệnh viện Đa khoa tỉnh vừa cấp cứu người bệnh đột ngột bị ngừng tim, các bác sĩ và điều dưỡng đã thay nhau ép tim liên tục gần 2 giờ đồng hồ, sốc điện phá rung thất 15 lần để cứu sống người bệnh nhồi máu cơ tim cấp bị ngừng tuần hoàn. Điều kỳ diệu là người bệnh hồi phục hoàn toàn, không để lại di chứng thần kinh.

Hình ảnh động mạch vành phải bị tắc hoàn toàn

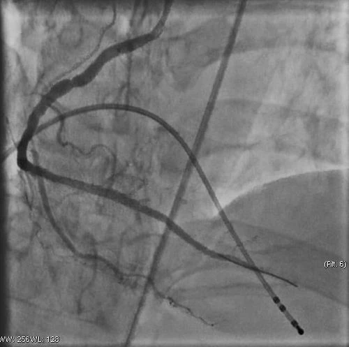
Hình ảnh đặt stent và máy tạo nhịp tim cho người bệnh

Hình ảnh Động mạch vành đã được tái thông sau khi đặt stent
Người bệnh P.V.H - trú tại phường Nông Trang có tiền sử tăng huyết áp, điều trị thuốc hàng ngày. Khoảng 2 giờ trước khi vào viện, người bệnh bất ngờ xuất hiện cơn tức ngực, khó thở và được đưa đến Bệnh viện Đa khoa tỉnh Phú Thọ cấp cứu. Kết quả thăm khám cho thấy người bệnh bị nhồi máu cơ tim cấp trên nền tăng huyết áp và nhanh chóng được chuyển lên Khoa Can thiệp tim mạch thực hiện can thiệp cấp cứu.
Tuy nhiên, trên đường đến phòng can thiệp, người bệnh bất ngờ xuất hiện ngừng tuần hoàn. Ngay lập tức, ekip bác sĩ, điều dưỡng đi cùng đã tiến hành hồi sức tim phổi cho người bệnh và kiên trì ép tim dọc hành lang về đến buồng bệnh cấp cứu. Hệ thống “báo động đỏ” toàn viện được kích hoạt, huy động khẩn cấp gần 20 bác sĩ, điều dưỡng từ nhiều khoa tham gia cấp cứu người bệnh.
Các nhân viên y tế tiến hành ép tim ngoài lồng ngực liên tục, kết hợp sốc điện phá rung thất nhiều lần và dùng các thuốc cấp cứu. Sau gần 2 giờ đồng hồ tập trung toàn lực, ép tim không ngừng, 15 lần sốc điện... nhịp tim của người bệnh đã trở lại.

Ekip trong phòng can thiệp tim mạch cho người bệnh
Người bệnh nhanh chóng được chuyển vào phòng can thiệp tim mạch để chụp và can thiệp mạch vành tái thông mạch vành bị tắc. Kết quả cho thấy động mạch vành phải bị tắc hoàn toàn. Ekip can thiệp đã tiến hành đặt máy tạo nhịp tim cho người bệnh và đặt 1 stent vào vị trí bị tắc nhằm tái thông động mạch vành.
Nhưng tình trạng người bệnh vẫn còn nặng, do thời gian ngừng tuần hoàn quá dài, người bệnh rơi vào tình trạng suy đa tạng, sốc tim và rối loạn nhịp tim vẫn còn. Sau can thiệp, người bệnh tiếp tục được chuyển về Khoa Hồi sức tích cực - Chống độc để điều trị hồi sức chuyên sâu.
Trong suốt quá trình theo dõi và điều trị, các bác sĩ tại nhiều chuyên khoa sâu như Tim mạch, Hồi sức tích cực - chống độc... liên tục họp hội chẩn, đưa ra những phương án tốt và phù hợp nhất với thể trạng người bệnh.

Các bác sỹ kiểm tra sức khỏe cho người bệnh sau phẫu thuật
Nhờ sự phối hợp nhịp nhàng giữa các chuyên khoa, sau 10 ngày điều trị tích cực, người bệnh đã cai được máy thở, tỉnh táo hoàn toàn, và đặc biệt là không có di chứng thần kinh. Các chỉ số huyết động và chức năng tim, chức năng các tạng dần hồi phục. Sau 15 ngày điều trị, người bệnh phục hồi tốt, có thể ăn uống, đi lại, sinh hoạt bình thường và được ra viện.
Mộc Lâm
Có thể kiểm soát huyết áp hiệu quả bằng cách bắt đầu ngày mới với những thức uống tự nhiên, dễ dàng chuẩn bị. Mỗi lựa chọn dưới đây đều mang lại lợi ích tuyệt vời cho tim mạch...
Vắc xin ngừa virus gây ung thư cổ tử cung sẽ được tiêm miễn phí cho trẻ nhỏ trong tiêm chủng mở rộng. Trong các vắc xin mới, có vắc xin chi phí lên đến cả triệu đồng/mũi.
Từ khi thụ thai đến 2 tuổi, là “giai đoạn vàng” quyết định tầm vóc, trí tuệ và sức đề kháng của trẻ về sau. Vậy làm thế nào để cha mẹ tận dụng tối đa cơ hội của 1000 ngày vàng?
Một số người sử dụng gừng như một bài thuốc tại nhà để trị cảm lạnh hoặc đau họng. Đặc tính kháng virus, kháng khuẩn, chống viêm của gừng có thể giúp kiểm soát cơn đau và tình...
Chế độ ăn uống giữ vai trò quan trọng trong việc bảo vệ tim mạch. Ngày càng có nhiều bằng chứng khoa học khẳng định rằng rau củ, ngũ cốc nguyên hạt và các loại đậu là nhóm thực...
Đối với các thể bệnh cúm, trong đó có cúm A, nguyên tắc điều trị chủ yếu là giảm triệu chứng và chăm sóc hỗ trợ. Việc bổ sung dinh dưỡng tăng cường sức đề kháng là yếu tố quan...
Khi nói đến những thực phẩm dễ tiêu hóa, chuối thường nằm trong danh sách hàng đầu và thường được khuyên dùng để làm dịu cơn đau dạ dày. Vậy tại sao một số người lại đau dạ dày...