{title}
{publish}
{head}
Khoa Phẫu thuật Tim mạch – Lồng ngực, Bệnh viện Đa khoa tỉnh Phú Thọ vừa chạy đua với thời gian phẫu thuật cứu sống người bệnh H.V.L 65 tuổi, trú tại phường Việt Trì bị vỡ phình động mạch chủ bụng – một tình trạng cực kỳ nguy hiểm, có thể dẫn đến tử vong trong thời gian ngắn nếu không được cấp cứu kịp thời.

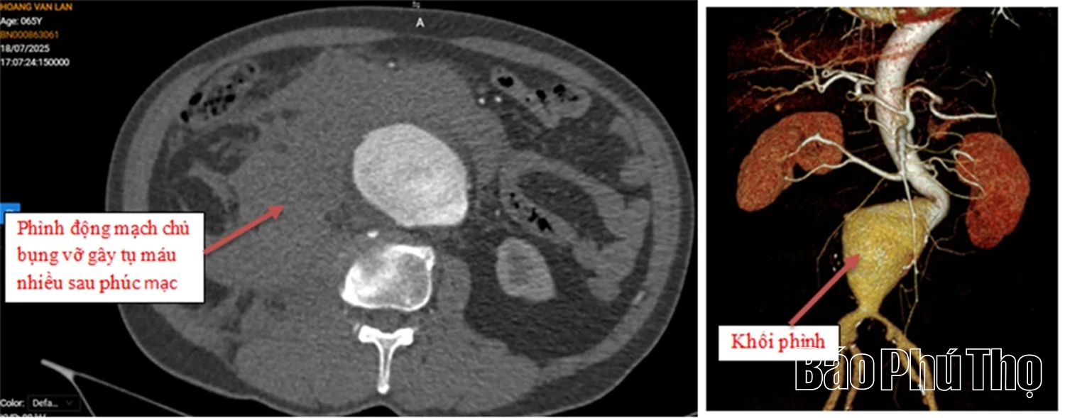
Hình ảnh phim chụp trước phẫu thuật: Phình động mạch chủ bụng vỡ gây tụ máu nhiều sau phúc mạc và hình ảnh khối phình động mạch chủ bụng trước mổ
Theo lời kể của gia đình, bệnh nhân L có tiền sử tăng huyết áp. Trước khi nhập viện khoảng 30 phút, người bệnh đột ngột xuất hiện cơn đau bụng dữ dội vùng mạn sườn phải và thắt lưng phải, kèm theo bụng chướng. Thấy vậy, người nhà đã gọi điện nhờ bác sĩ Đỗ Mạnh Hải – Trưởng khoa Phẫu thuật ung bướu, Bệnh viện Đa khoa tỉnh là thành viên mạng lưới cán bộ y tế tại khu dân cư đến kiểm tra. Nhờ sự phối hợp nhanh chóng, người bệnh đã được đưa đến bệnh viện cấp cứu chỉ sau ít phút.
Tại đây, các bác sĩ đã nhanh chóng khám lâm sàng và chỉ định chụp cắt lớp vi tính đa lát cắt (MSCT) động mạch chủ bụng. Kết quả cho thấy, hình ảnh vỡ phình động mạch chủ bụng, phình hình thoi động mạch chậu chung bên phải và túi phình động mạch chậu chung bên trái. Người bệnh được chẩn đoán vỡ phình động mạch chủ bụng với nhận định có nguy cơ tử vong rất cao.
Ngay lập tức, các bác sĩ tại Khoa Phẫu thuật Tim mạch – Lồng ngực đã hội chẩn và quyết định phẫu thuật cấp cứu thay đoạn động mạch chủ bụng và chủ chậu bằng mạch nhân tạo để kiểm soát chảy máu và duy trì huyết động.

Ekip phẫu thuật cho người bệnh
Ca phẫu thuật diễn ra trong điều kiện hết sức khẩn trương. Sau hơn 4 giờ nỗ lực của cả ekip, ca phẫu thuật đã thành công, người bệnh được điều trị hồi sức tại khoa Phẫu thuật Tim mạch – Lồng ngực. Sau 10 ngày điều trị, người bệnh phục hồi tốt, ăn uống, đi lại, sinh hoạt bình thường và được xuất viện.
Bác sĩ nội trú Dương Xuân Phương – Trưởng khoa Phẫu thuật Tim mạch – Lồng ngực, người trực tiếp phẫu thuật cho người bệnh cho biết: Vỡ phình động mạch chủ bụng là một trong những tình trạng nguy kịch nhất trong các bệnh lý tim mạch. Thời gian từ khi vỡ đến tử vong có thể tính bằng phút. Vì vậy, chẩn đoán nhanh, quyết đoán trong xử trí và phối hợp nhịp nhàng trong phẫu thuật là yếu tố then chốt để cứu sống người bệnh. Cả ekip đã phải thần tốc chạy đua với thời gian, tranh thủ từng giây để cứu sống người bệnh.

Bác sĩ khoa Phẫu thuật Tim mạch – Lồng ngực kiểm tra sức khỏe cho người bệnh sau phẫu thuật
Trường hợp của người bệnh L không chỉ cho thấy năng lực chuyên môn và khả năng phản ứng nhanh của đội ngũ bác sĩ, điều dưỡng, mà còn là minh chứng cụ thể cho hiệu quả của mạng lưới cán bộ y tế tại khu dân cư. Chính nhờ sự phát hiện kịp thời và hỗ trợ nhanh chóng từ các nhân viên y tế sống gần nhà, người bệnh đã được đưa đến bệnh viện cấp cứu kịp thời, giúp tăng cơ hội được cứu sống.
Qua đây, bác sĩ khuyến cáo người dân, đặc biệt là những người đang có các yếu tố nguy cơ cao như tăng huyết áp, xơ vữa động mạch, hút thuốc lá lâu năm... việc khám sức khỏe định kỳ là vô cùng quan trọng. Phát hiện sớm những bất thường như phình động mạch có thể giúp can thiệp kịp thời, ngăn chặn những biến chứng nguy hiểm có nguy cơ xảy ra.
Linh Nguyễn
baophutho.vn Tết Nguyên đán Bính Ngọ 2026 đang đến gần, nhu cầu chăm sóc sức khỏe của người dân tăng cao trong khi nguy cơ tai nạn giao thông, ngộ độc thực...
Ký ức về bát cháo trắng nhạt nhẽo và túi thuốc hạ áp bên giường bệnh mùng 3 Tết năm ngoái buộc ông Hùng, 55 tuổi, phải thiết quân luật với chính gia đình mình trong năm nay.
Nhiều người thường băn khoăn, ăn trứng gà hay trứng vịt tốt hơn. Hãy nhìn nhận dưới nhiều góc độ: từ thành phần dinh dưỡng, năng lượng cung cấp cho đến tác động trực tiếp tới...
Không phải mọi thứ cất vào tủ lạnh đều an toàn. Thực tế, có những thực phẩm không nên để tủ lạnh do đặc tính dễ biến đổi chất và gây hại cho sức khỏe. Hãy kiểm tra ngay căn bếp...
Để giảm thiểu tác hại khi uống rượu bia, việc “lót dạ” đúng cách trước khi vào bàn tiệc là bước chuẩn bị quan trọng giúp làm chậm quá trình hấp thu cồn và bảo vệ cơ thể.
Việc chuẩn bị thực phẩm đón Tết không chỉ đơn thuần là mua sắm cho đầy căn bếp mà còn là sự tính toán thông minh để đảm bảo cả gia đình có những bữa ăn ngon lành, đủ chất và...
Trong những băn khoăn về chế độ dinh dưỡng hỗ trợ điều trị ung thư vú, nhiều người không rõ loại acid béo này là ’trợ thủ' đắc lực hay là một yếu tố cần thận trọng?