baophutho.vn Trong 2 ngày 12 và 13/9, Hội Chữ thập đỏ tỉnh phối hợp cùng Công ty CP Supe phốt phát và Hóa chất Lâm Thao tổ chức Ngày hội hiến máu “Giọt hồng...
baophutho.vn Người bệnh 43 tuổi, trú tại tỉnh Phú Thọ, bị tai nạn giao thông chấn thương sọ não nặng được chuyển đến Bệnh viện đa khoa tỉnh. Nhận định đây...
baophutho.vn Ngày 27/8, nhân kỷ niệm 80 năm ngày Cách mạng Tháng Tám và Quốc khánh 2/9, Phó Bí thư Tỉnh ủy Bùi Thị Minh đã đến thăm, tặng quà cụ Ngô Mạnh...
baophutho.vn Ngày 20/8, Bộ Y tế chủ trì hội nghị trực tuyến toàn quốc về Chương trình mục tiêu quốc gia về chăm sóc sức khỏe, dân số và phát triển giai đoạn...
baophutho.vn Khoa Phẫu thuật Tim mạch – Lồng ngực, Bệnh viện Đa khoa tỉnh Phú Thọ vừa chạy đua với thời gian phẫu thuật cứu sống người bệnh H.V.L 65 tuổi,...
baophutho.vn Sáng 23/7, Viện Kiểm sát nhân dân (KSND) tỉnh tổ chức gặp mặt kỷ niệm 65 năm Ngày truyền thống Ngành Kiểm sát nhân dân (26/7/1960 * 26/7/2025)....
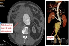
baophutho.vn Bệnh viện Đa khoa tỉnh vừa tiếp nhận một trường hợp hy hữu, người bệnh B.T.M, 71 tuổi, trú tại Hạ Hòa, cùng lúc bị sỏi mật gây tắc ống mật chủ...
baophutho.vn Nhiều năm qua, đột quỵ luôn được xem là căn bệnh của người cao tuổi. Tuy nhiên, những thống kê y tế gần đây cho thấy ngày càng nhiều người trẻ...
baophutho.vn Ngày 12/6, tại Trường Chính trị tỉnh, Ban Chỉ đạo vận động hiến máu tình nguyện thành phố Việt Trì phối hợp với Bệnh viện Đa khoa tỉnh tổ chức...
Bệnh viện Đa khoa tỉnh phối hợp với Hội Chữ thập đỏ TP Việt Trì, Hội Thầy thuốc trẻ tỉnh vừa tổ chức Chương trình khám, tư vấn, cấp phát thuốc miễn phí cho người dân tại xã Hy...
baophutho.vn Phình mạch máu não là bệnh lý nguy hiểm, có thể tồn tại nhiều năm, thường diễn biến âm thầm nên người dân thường chủ quan. Khi túi phình vỡ,...
Hơn 20 năm cống hiến cho nghề y, Tiến sĩ, Bác sĩ Lê Thị Bích Thủy - Trưởng khoa Nội thần kinh - Cơ xương khớp, Bệnh viện Đa khoa tỉnh không chỉ là một thầy thuốc giỏi, mà còn...
baophutho.vn Hưởng ứng “25 năm - ngày toàn dân hiến máu tình nguyện”, ngày 24/4, Hội Chữ thập đỏ tỉnh phối hợp với Ban Chỉ đạo vận động hiến máu tình nguyện...
baophutho.vn Nhiều năm nay, dãy nhà trọ nằm trong ngõ 457 đường Châu Phong, phường Gia Cẩm, thành phố Việt Trì trở thành “xóm chạy thận” của những bệnh nhân...
baophutho.vn Nằm trong chuỗi hoạt động nhân đạo “Hưởng ứng Tháng nhân đạo năm 2025”, ngày 27/3, Hội Chữ thập đỏ tỉnh phối hợp với Công ty Cổ phần Đầu tư...
baophutho.vn Ngày 24/3, Bộ CHQS tỉnh tổ chức trao thưởng đột xuất cho Thiếu tá quân nhân chuyên nghiệp (QNCN) Đào Trung Kiên, Phòng Hậu cần - Kỹ thuật, Bộ CHQS tỉnh.