{title}
{publish}
{head}
Lượng đường trong máu cao gây tổn thương các mạch máu trên khắp cơ thể, bao gồm cả mắt. Kiểm soát đường huyết kém, huyết áp cao, tăng cholesterol, hút thuốc và thời gian mắc bệnh tiểu đường dài hơn... làm tăng nguy cơ mắc các vấn đề về mắt.
Các tình trạng về mắt do bệnh tiểu đường gây ra
1. Bệnh võng mạc tiểu đường
Theo thông tin đăng trên trang TOI, bệnh võng mạc tiểu đường là bệnh về mắt phổ biến nhất do tiểu đường gây ra. Bệnh xảy ra khi lượng đường trong máu cao làm hỏng các mạch máu nhỏ ở võng mạc - bộ phận của mắt cảm nhận ánh sáng và gửi hình ảnh đến não. Theo thời gian, các mạch máu này có thể sưng lên, rò rỉ dịch hoặc đóng hoàn toàn. Trong những trường hợp nghiêm trọng hơn, các mạch máu yếu mới phát triển và có thể chảy máu, gây ra các vấn đề về thị lực.
Lúc đầu, bệnh võng mạc tiểu đường có thể không gây ra bất kỳ triệu chứng nào, nhưng khi bệnh trở nên trầm trọng hơn, có thể gây mờ mắt, đốm đen hoặc đốm ruồi bay. Nếu không được điều trị, có thể dẫn đến mù lòa. Nguy cơ tăng lên khi bạn bị tiểu đường lâu hơn và nếu lượng đường trong máu không được kiểm soát tốt.
Bệnh võng mạc tiểu đường là bệnh về mắt phổ biến nhất do tiểu đường gây ra.
2. Phù hoàng điểm do tiểu đường
Điểm vàng là phần trung tâm của võng mạc chịu trách nhiệm cho tầm nhìn sắc nét, chi tiết, như đọc hoặc nhận dạng khuôn mặt. Bệnh tiểu đường có thể khiến chất lỏng rò rỉ vào điểm vàng, dẫn đến sưng tấy được gọi là phù hoàng điểm do tiểu đường (DME). Tình trạng sưng tấy này làm mờ tầm nhìn trung tâm, có thể gây tổn thương vĩnh viễn nếu không được điều trị.
DME thường phát triển ở những người mắc bệnh võng mạc tiểu đường và là nguyên nhân hàng đầu gây mất thị lực ở những người bệnh này.
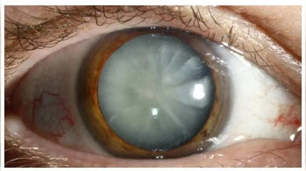
3. Đục thuỷ tinh thể
Những người bị tiểu đường có nhiều khả năng bị đục thủy tinh thể sớm hơn những người không bị tiểu đường. Đục thủy tinh thể khiến thủy tinh thể của mắt bị đục, tầm nhìn bị mờ, tối hoặc sương mù. Lượng đường trong máu cao làm tăng tốc độ hình thành đục thủy tinh thể.
Đục thủy tinh thể có thể gây chói mắt và khó nhìn vào ban đêm. Phẫu thuật đục thủy tinh thể là một cách an toàn và hiệu quả để phục hồi thị lực rõ ràng khi đục thủy tinh thể trở nên nghiêm trọng. Tuy nhiên, cần lưu ý rằng đục thủy tinh thể cũng có thể xảy ra ở những người không bị tiểu đường và cực kỳ phổ biến ở người lớn tuổi trên 60 tuổi.
Những người bị tiểu đường có nhiều khả năng bị đục thủy tinh thể sớm hơn những người không bị tiểu đường.
4. Bệnh tăng nhãn áp
Bệnh tiểu đường làm tăng gấp đôi nguy cơ mắc tăng nhãn áp, gây tổn thương dây thần kinh thị giác, kết nối mắt với não. Bệnh tăng nhãn áp thường không có triệu chứng ban đầu, do đó việc khám mắt thường xuyên rất quan trọng để phát hiện sớm và điều trị nhằm bảo vệ thị lực.
5. Bong võng mạc
Trong bệnh võng mạc tiểu đường tiến triển, mô sẹo có thể hình thành bên trong mắt. Mô sẹo này có thể kéo võng mạc ra khỏi phía sau mắt, gọi là bong võng mạc. Bong võng mạc có thể gây mất thị lực đột ngột và là một trường hợp cấp cứu y tế cần được điều trị kịp thời.
Nếu không được điều trị, bong võng mạc có thể dẫn đến mù vĩnh viễn. Phẫu thuật thường là cần thiết để phục hồi võng mạc và giữ lại thị lực.
Các phòng ngừa và kiểm soát tiểu đường
Theo mayoclinic, thay đổi lối sống là bước tiến lớn hướng tới phòng ngừa bệnh tiểu đường và không bao giờ là quá muộn để bắt đầu. Thực hiện một vài thay đổi trong lối sống ngay bây giờ có thể giúp bạn tránh được các biến chứng sức khỏe nghiêm trọng của bệnh tiểu đường trong tương lai.
1. Giảm cân
Giảm cân làm giảm nguy cơ mắc bệnh tiểu đường. Hiệp hội Tiểu đường Hoa Kỳ khuyến cáo những người bị tiền tiểu đường nên giảm ít nhất 5% - 7% trọng lượng cơ thể để ngăn ngừa bệnh tiểu đường. Giảm cân nhiều hơn có thể mang lại lợi ích lớn hơn nữa. Đặt mục tiêu giảm cân dựa trên cân nặng hiện tại của bạn. Trao đổi với chuyên gia chăm sóc sức khỏe về các mục tiêu và kỳ vọng ngắn hạn hợp lý. Ví dụ, đặt mục tiêu giảm 0,5-1kg mỗi tuần.
2. Hoạt động thể chất nhiều hơn
Rất nhiều lợi ích có thể đạt được từ việc hoạt động thể chất thường xuyên, chẳng hạn như:
Giảm cân.
Giảm lượng đường trong máu.
Tăng cường độ nhạy cảm với insulin giúp duy trì lượng đường trong máu ở mức bình thường.
Tăng cường sức khoẻ tim mạch...
3. Ăn thực phẩm thực vật lành mạnh
Thực vật trong chế độ ăn uống sẽ cung cấp vitamin, khoáng chất và carbohydrate. Carbohydrate bao gồm đường và tinh bột - nguồn năng lượng cho cơ thể - và chất xơ. Chất xơ trong chế độ ăn uống, còn được gọi là chất xơ thô hoặc chất xơ dạng khối, là một phần của thực phẩm thực vật mà cơ thể không thể tiêu hóa hoặc hấp thụ.
Thực phẩm giàu chất xơ thúc đẩy giảm cân và giảm nguy cơ mắc bệnh tiểu đường. Ăn nhiều loại thực phẩm lành mạnh, giàu chất xơ, bao gồm:
Trái cây
Các loại rau không chứa tinh bột như rau lá xanh, bông cải xanh và súp lơ.
Các loại đậu như đậu Hà Lan, đậu gà và đậu lăng.
Ngũ cốc nguyên hạt...
Lợi ích của chất xơ bao gồm:
Làm chậm quá trình hấp thụ đường và hạ lượng đường trong máu.
Cản trở quá trình hấp thụ chất béo và cholesterol trong chế độ ăn.
Kiểm soát các yếu tố nguy cơ khác ảnh hưởng đến sức khỏe tim mạch, chẳng hạn như huyết áp và tình trạng viêm.
Giúp bạn ăn ít hơn vì thực phẩm giàu chất xơ giúp no lâu và giàu năng lượng hơn.
Tránh các loại carbohydrate có nhiều đường nhưng ít chất xơ hoặc chất dinh dưỡng. Ví dụ, tránh bánh mì trắng và bánh ngọt, mì ống làm từ bột mì trắng, nước ép trái cây và thực phẩm chế biến có đường hoặc xi-rô ngô có hàm lượng fructose cao.
4. Ăn chất béo lành mạnh
Tránh ăn nhiều thực phẩm béo có nhiều calo. Để giúp giảm và kiểm soát cân nặng, chế độ ăn uống nên bao gồm nhiều loại thực phẩm có chất béo không bão hòa (chất béo lành mạnh).
Các nguồn chất béo lành mạnh bao gồm:
Dầu ô liu, dầu hướng dương, dầu cây rum, dầu hạt bông và dầu cải.
Quả bơ.
Các loại hạt và hạt giống như hạnh nhân, đậu phộng, hạt lanh và hạt bí ngô.
Cá béo như cá hồi, cá thu, cá mòi, cá ngừ và cá tuyết.
Chất béo bão hòa có trong các sản phẩm từ sữa và thịt chỉ nên là một phần nhỏ trong chế độ ăn. Bạn có thể hạn chế chất béo bão hòa bằng cách ăn các sản phẩm từ sữa ít béo và thịt gà nạc và thịt lợn.
Khi nào nên đi khám bác sĩ
Hiệp hội Đái tháo đường Hoa Kỳ (ADA) khuyến cáo sàng lọc thường quy bằng các xét nghiệm để chẩn đoán bệnh đái tháo đường type 2 cho tất cả người lớn từ 35 tuổi trở lên. ADA cũng khuyến cáo sàng lọc cho các nhóm sau:
Những người dưới 35 tuổi có cân nặng dư thừa và có một hoặc nhiều yếu tố nguy cơ liên quan đến bệnh tiểu đường.
Phụ nữ bị tiểu đường thai kỳ.
Những người bị tiền tiểu đường.
Trẻ em thừa cân và có tiền sử gia đình mắc bệnh tiểu đường loại 2 hoặc các yếu tố nguy cơ khác...
T.S (Theo suckhoedoisong.vn)
Sau tuổi 30, khi hệ nội tiết bắt đầu có những dấu hiệu “lỗi nhịp”, đu đủ chín không chỉ là món tráng miệng ngọt ngào mà còn là giải pháp tự nhiên giúp chị em cân bằng nội tiết...
Uống cà phê sai cách như thêm nhiều đường, uống quá sớm hoặc quá nhiều có thể gây mất ngủ và cản trở giảm cân. Chỉ cần vài điều chỉnh nhỏ trong thói quen hàng ngày sẽ giúp bạn...
Trái với nỗi sợ tăng cân, khoa học chứng minh việc ăn các loại hạt giúp giảm cân, đánh bay mỡ thừa hiệu quả hơn các chế độ ăn kiêng khắt khe. Bí mật nằm ở cơ chế chuyển hóa đặc...
Bên cạnh những lợi ích sức khỏe quen thuộc, nước gừng còn giúp hạn chế đáng kể quá trình tiến triển của cơn đau cơ sau quá trình vận động.
Cam và nước cam đều là nguồn cung cấp vitamin C dồi dào hỗ trợ sức khỏe miễn dịch, tăng cường hấp thụ sắt và phục hồi sức khỏe. Tuy nhiên, ăn cam cả quả hay uống nước cam ép có...
Áp dụng phương pháp nhịn ăn gián đoạn có thể mang lại lợi ích cho tim mạch, giảm viêm, cải thiện quá trình sửa chữa tế bào và giúp đốt cháy chất béo.
Dù cơ thể có thể tự sản sinh vitamin D từ ánh nắng mặt trời nhưng thực phẩm cũng là một nguồn cung cấp vitamin D quan trọng giúp bù đắp sự thiếu hụt vitamin D trong những tháng...